Archived Content
The National Institute of Mental Health archives materials that are over 4 years old and no longer being updated. The content on this page is provided for historical reference purposes only and may not reflect current knowledge or information.
Emotion-Regulating Circuit Weakened in Borderline Personality Disorder
Grey Matter Changes Linked to Runaway Fear Hub
• Science Update
Structural, functional changes
seen in same patients
Differences in the working tissue of the brain, called grey matter, have been linked to impaired functioning of an emotion-regulating circuit in patients with borderline personality disorder (BPD). People with BPD had excess grey matter in a fear hub deep in the brain, which over-activated when they viewed scary faces. By contrast, the hub's regulator near the front of the brain was deficient in grey matter and underactive, effectively taking the brakes off a runaway fear response, suggest researchers supported in part by NIMH.
The imaging studies are the first to link structural brain differences with functional impairment in the same sample of BPD patients. Similar changes in the same circuit have been implicated in mood and anxiety disorders, hinting that BPD might share common mechanisms with mental illnesses that have traditionally been viewed through the lens of biology.1
Michael Minzenberg, M.D., of the University of California, Davis, and NIMH grantees Antonia S. New, M.D., and Larry J. Siever, M.D., of Mount Sinai School of Medicine, and colleagues, reported on their magnetic resonance imaging (MRI) findings in the July, 2008 issue of the Journal of Psychiatric Research2 Their functional imaging findings were reported in the August 2007 issue of Psychiatric Research Neuroimaging.3
Accounting for up to 20 percent of psychiatric hospitalizations,4 BPD affects up to 1.4 percent of adults in a year.5 It is characterized by intense bouts of anger, depression, and anxiety that may last only hours, often in response to perceived rejection. People with this difficult to treat disorder typically experience tumultuous work and family life and may engage in risky, impulsive behaviors. Cutting, burning and other forms of self-harm are common. The completed suicide rate in BPD approaches 10%, and at least 75% of afflicted individuals attempt suicide at least once.6
Previous findings7 of lower-than-normal grey matter matter - neurons and their connections - in the regulator hub, called the anterior cingulate cortex (ACC), hinted that this might affect the way the brain works in BPD.
To find out, the researchers first used functional magnetic resonance imaging (fMRI), to compare responses of 12 adult BPD patients with those of 12 healthy controls to pictures of faces with fearful, angry and neutral expressions. In response to fearful faces, the amygdala, the fear hub, showed exaggerated activity in the BPD patients, while the ACC was relatively underactive. Since ACC activity would normally increase to dampen an overactive amygdala, this suggested weak regulation of emotion in the circuit.
Suspecting that this functional impairment mirrors structural differences — as has been found in depression — the researchers next used anatomical MRI to compare grey matter in the same patients and healthy controls. Consistent with the fMRI results and the earlier findings, grey matter density was increased in parts of the amygdala and decreased in parts of the ACC, in BPD patients relative to controls. This suggested an abnormality in the number or architecture of neurons in these key components of the emotion-regulating circuit, which other evidence links to impaired functioning of the serotonin chemical messenger system.
Patients with borderline personality disorder had significantly lower density of grey matter, the brain's working tissue, in the anterior cigulate cortex, an area (yellow, at right) that regulates the brain's fear hub (below). MRI scan data shows the difference between patients and controls.
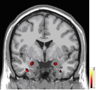
Patients with borderline personality disorder had significantly higher density of grey matter, the brain's working tissue, in the brain's fear hub, the amygdala (red areas). MRI scan data shows where patients and controls differed.
An area (anterior cigulate cortex; orange at right) that regulates the brain's fear hub underactivated in patients with borderline personality when they viewed faces with fearful expressions. fMRI scan data reflects differences in activation between patients and controls.
References
1New AS, Triebwasser J, Charney DS . The Case for Shifting Borderline Personality Disorder to Axis I. Biol Psychiatry. 2008 Jun 10. [Epub ahead of print] PMID: 18550033
2Minzenberg MJ, Fan J, New AS, Tang CY, Siever LJ . Frontolimbic structural changes in borderline personality disorder. J Psychiatr Res. 2008 Jul;42(9):727-33. Epub 2007 Sep 7. PMID: 17825840
3Minzenberg MJ, Fan J, New AS, Tang CY, Siever LJ . Fronto-limbic dysfunction in response to facial emotion in borderline personality disorder: an event-related fMRI study. Psychiatry Res. 2007 Aug 15;155(3):231-43. Epub 2007 Jul 2. PMID: 17601709
4James PD, Cowman S . Psychiatric nurses' knowledge, experience and attitudes towards clients with borderline personality disorder. J Psychiatr Ment Health Nurs. 2007 Oct;14(7):670-8. PMID: 17880661
5Lenzenweger MF, Lane MC, Loranger AW, Kessler RC . DSM-IV personality disorders in the National Comorbidity Survey Replication. Biol Psychiatry. 2007 Sep 15;62(6):553-64. Epub 2007 Jan 9. PMID: 17217923
6Black DW, Blum N, Pfohl B, Hale N . Suicidal behavior in borderline personality disorder: prevalence, risk factors, prediction, and prevention. J Personal Disord. 2004 Jun;18(3):226-39. Review. PMID: 15237043
7Hazlett EA, New AS, Newmark R, Haznedar MM, Lo JN, Speiser LJ, Chen AD, Mitropoulou V, Minzenberg M, Siever LJ, Buchsbaum MS . Reduced anterior and posterior cingulate gray matter in borderline personality disorder. Biol Psychiatry. 2005 Oct 15;58(8):614-23. Epub 2005 Jul 5. PMID: 15993861
