Archived Content
The National Institute of Mental Health archives materials that are over 4 years old and no longer being updated. The content on this page is provided for historical reference purposes only and may not reflect current knowledge or information.
Non-Invasive Technique Blocks a Conditioned Fear in Humans
Recalling Emotional Memory Opens Window of Opportunity to Re-Write It
• Press Release
Scientists have for the first time selectively blocked a conditioned fear memory in humans with a behavioral manipulation. Participants remained free of the fear memory for at least a year. The research builds on emerging evidence from animal studies that reactivating an emotional memory opens a 6-hour window of opportunity in which a training procedure can alter it.
"Our results suggest a non-pharmacological, naturalistic approach to more effectively manage emotional memories," said Elizabeth Phelps, Ph.D., of New York University, a grantee of the National Institutes of Health's National Institute of Mental Health (NIMH).
Phelps and NIMH grantee and NYU colleague Joseph LeDoux, Ph.D., led the research team that reports on their discovery online Dec. 9, 2009 in the journal Nature.1
"Inspired by basic science studies in rodents, these new findings in humans hold promise for being translated into improved therapies for the treatment of anxiety disorders, such as post-traumatic stress disorder (PTSD)," said NIMH Director Thomas R. Insel, M.D.
The results add support to the hypothesis that emotional memories are reconsolidated – rendered vulnerable to being modified – each time they are retrieved. That is, reactivating a memory opens what researchers call "reconsolidation window," a time-limited period when it can be changed.
"This adaptive update mechanism appears to have evolved to allow new information available at the time of retrieval to be incorporated into the brain's original representation of the memory," explained Phelps.
Earlier this year, LeDoux and colleagues exploited this potentially clinically important insight to erase a fear memory in rats.2 They first conditioned rats to fear a tone by pairing it with intermittent shocks. A day later, the rats were re-exposed to the tone, reactivating the fear memory. They then underwent a process to rewrite the fear, called extinction training, in which the tone was repeatedly presented without shocks.
However, the timing of this extinction training proved critical. Fear of the stimulus was erased only in rats trained within a 6-hour reconsolidation window after re-exposure to the feared tone. Fear responses returned in animals trained after the window closed, when the memory had apparently already solidified.
Normally, extinction training suppresses but does not erase the original fear memory. By first reactivating it – sounding the tone – just prior to extinction training, LeDoux and colleagues permanently erased the fear memory.
In the new study, Phelps and colleagues similarly conditioned human participants to fear colored squares by intermittently pairing them with mild wrist shocks.
As with the rats, a day later, the memory was first reactivated by re-exposing participants to the feared squares. A measure of nervous system arousal confirmed that they experienced a fear response. Extinction training – repeated trials of exposure to the colored squares without shocks – followed.
Again as in the rats, a day later, the fear response was banished only in human participants who underwent the extinction training soon after the fear reactivation. Those trained after the 6-hour consolidation window remained afraid of the squares – as did a control group that received extinction training without first experiencing reactivation of the fear memory.
In a follow-up experiment to gauge long-term effects a year later, 19 of the original participants received a potent regimen to re-instate the fear: four shocks followed by presentations of the colored squares.
Remarkably, those who had undergone extinction training within the reconsolidation window were largely spared significant effects. By contrast, those whose training had been delayed 6 hours or who hadn't experienced fear memory reactivation prior to extinction training experienced significant reinstatement of the fear response.
In a similar experiment, the researchers also confirmed that the fear memory was blocked only for the specific colored square for which fear memory was reactivated prior to extinction training. The effect did not generalize to a differently colored square associated with the shocks. This indicated that memory re-writing during reconsolidation is highly specific and that prior reactivation with the specific stimuli is critical.
"Timing may have a more important role in the control of fear than previously appreciated," Phelps suggested. "Our memory reflects our last retrieval of it rather than an exact account of the original event."
Evidence suggests that the behavioral manipulation may work through the same molecular mechanisms in the brain’s fear hub, the amygdala, as experimental medications under study for quelling traumatic emotional memories.
"Using a more natural intervention that captures the adaptive purpose of reconsolidation allows a safe and easily implemented way to prevent the return of fear," suggest the investigators.
Performing a behavioral manipulation during a memory reconsolidation, or updating, window of time following retrieval (red line at top) extinguished a conditioned fear memory in human subjects.
Source: Gregory Quirk, Ph.D., University of Puerto Rico3
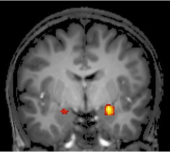
Evidence suggests that the behavioral manipulation may work through the same molecular mechanisms in the brain’s fear hub, the amygdala (yellow/red), as experimental medications under study for quelling traumatic emotional memories. Functional magnetic resonance imaging scan showing activation of the amygdala.
References
1Preventing the return of fear in humans using reconsolidation update mechanisms. Schiller D, Monfils MH, Raio CM, Johnson DC, LeDoux JE, Phelps EA. Nature. 2009 December 9.
2Extinction-reconsolidation boundaries: key to persistent attenuation of fear memories . Monfils MH, Cowansage KK, Klann E, LeDoux JE. Science. 2009 May 15;324(5929):951-5. Epub 2009 Apr 2.PMID: 19342552
3Editing out fear. Quirk GJ, Milad MR. Nature. Epub 2009 Dec 9.
About the National Institute of Mental Health (NIMH): The mission of the NIMH is to transform the understanding and treatment of mental illnesses through basic and clinical research, paving the way for prevention, recovery and cure. For more information, visit the NIMH website.
About the National Institutes of Health (NIH): NIH, the nation's medical research agency, includes 27 Institutes and Centers and is a component of the U.S. Department of Health and Human Services. NIH is the primary federal agency conducting and supporting basic, clinical, and translational medical research, and is investigating the causes, treatments, and cures for both common and rare diseases. For more information about NIH and its programs, visit the NIH website .
NIH…Turning Discovery Into Health®
